Επιστήμη & Τεχνολογία Μπλόκο της Κίνας στη συλλογή δεδομένων από τους κολοσσούς του Διαδικτύου Ο νέος νόμος φέρεται να βασίστηκε τους κανόνες της Ευρωπαϊκής Ένωσης. 20/08/2021 15:53
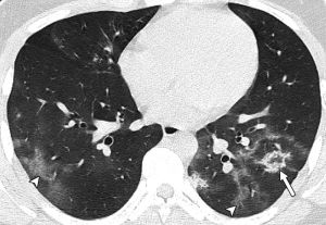
Υγεία Ανάρτηση σοκ Μαγιορκίνη – Δείτε τις βλάβες στους πνεύμονες ανήλικων που νόσησαν με κοροναϊό 20/08/2021 14:52
Επιστήμη & Τεχνολογία Προειδοποίηση ΕΛ.ΑΣ – Χακάρουν τους λογαριασμούς στα social media με ένα μήνυμα 20/08/2021 14:20
Υγεία Θεραπεία αντισωμάτων της AstraZeneca δείχνει να προλαμβάνει τη λοίμωξη με κοροναϊόTo κοκτέιλ αντισωμάτων προορίζεται για ασθενείς με εξασθενημένο ανοσοποιητικό σύστημα. 20/08/2021 13:30
Παιδί Παιδίατρος για εμβολιασμό παιδιών – «Δεν γνωρίζουμε τι "κουσούρι" αφήνει ο κοροναϊόςΚυβέρνηση και ειδικοί κάνουν συνεχώς εκκλήσεις σε όλα τα μέλη της εκπαιδευτικής κοινότητας να εμβολιαστούν έτσι ώστε να μην υπάρξει ξανά η κατάσταση που είδαμε την περασμένη σχολική χρονιά. Νέο «όπλο» στην φαρέτρα, η δυνατότητα εμβολιασμού των παιδιών από 12 έως 15 ετών 20/08/2021 08:16
Επιστήμη & Τεχνολογία Ενδείξεις ότι μειώνεται η αποτελεσματικότητα των εμβολίωνΟρισμένοι ειδικοί πάντως αμφισβητούν την ερμηνεία των αποτελεσμάτων και τάσσονται κατά της τρίτης δόσης. 19/08/2021 18:41
Υγεία Το εμβόλιο Covid-19 προσφέρει «υπερανοσία» σε όσους είχαν επιζήσει από SARSΕλπίδες για ανάπτυξη νέων εμβολίων που θα προστατεύουν από το στέλεχος Δέλτα αλλά και από άλλους κοροναϊούς. 19/08/2021 14:48
Ελλάδα Ανεμβολίαστοι οι μισοί ΕλληνεςKάθετη πτώση του ρυθμού των εμβολιασμών, από τις 110.000 τον Ιούνιο έφτασε στις 23.000 κατά μέσο όρο ημερησίως την τελευταία εβδομάδα – Τα προβλήματα θα τα δούμε από φθινόπωρο 19/08/2021 06:04
Έντυπη ΈκδοσηΠού οφείλεται το πρήξιμο στο πρόσωπο;Οι πιθανές αιτίες λόγω τραυματισμών, αλλεργιών, μολύνσεων για το πρήξιμο και πώς αντιμετωπίζονται ? Σε ποιες περιπτώσεις χρειάζεταιεπείγουσα ιατρική φροντίδα Καϊτανίδη Μάρθα Πρώτη Δημοσιεύση:19/08/2021 05:00
Υγεία ΚΑΡΔΙΟ… ΓΡΑΦΗΜΑΤΑΚ. Τσιούφης: Καλοκαιρινές διακοπές, αλκοόλ και αρρυθμίες Πρώτη Δημοσιεύση:19/08/2021 05:00
Υγεία ΜΑΧΗ ΤΩΝ ΚΥΤΤΑΡΩΝΘ. Δημόπουλος: Ο κίνδυνος πτώσης σε ασθενείς με καρκίνο του προστάτη Πρώτη Δημοσιεύση:19/08/2021 05:00
Έντυπη ΈκδοσηΟ κίνδυνος πτώσης σε ασθενείς με καρκίνο του προστάτηΟι πτώσεις είναι μέσα στα δέκα πιο συχνά αίτια νοσηρότητας στους ηλικιωμένους και μπορεί να έχουν καταστροφικές συνέπειες για τον ασθενή καθώς σχετίζονται με κατάγματα, περιορισμό της κινητικότητας και άγχος τόσο για τον ασθενή όσο και για τον φροντιστή του. Στους ασθενείς με καρκίνο υπάρχουν πολλοί παράγοντες που αυξάνουν τον κίνδυνο πτώσης που αφορούν το […] Δημόπουλος Θάνος Πρώτη Δημοσιεύση:19/08/2021 05:00
Έντυπη ΈκδοσηΟ θυμός της δίαιτας οφείλεται στις… ορμόνεςΗ σωστή απώλεια των περιττών κιλών απαιτεί κόπο και χρόνο και όσοι κάνουν διατροφή αναφέρουν συχνά ότι αισθάνονται οξύθυμοι και εκνευρισμένοι n Η μείωση της γλυκόζης και η ενεργοποίηση της κορτιζόλης και της αδρεναλίνης μπορεί να προκαλέσουν επιθετικότητα σε μερικούς ανθρώπους Πρώτη Δημοσιεύση:19/08/2021 05:00
Έντυπη ΈκδοσηΚαλοκαιρινές διακοπές, αλκοόλ και αρρυθμίεςΟι καλοκαιρινές διακοπές, έστω και με τα προστατευτικά-αναγκαία μέτρα που η πανδημία επιβάλλει, μαζί με τα θαλάσσια μπάνια και την ηλιοθεραπεία προσφέρονται και για χαλάρωση και ανασύνταξη δυνάμεων για τη δύσκολη φθινοπωρινή και χειμερινή σεζόν. Παράλληλα δίνεται η ευκαιρία της συνάντησης με φίλους και συγγενείς και συχνά αυτό καταλήγει σε κάποια υπερβολή και στην ποσότητα […] Τσιούφης Κώστας Πρώτη Δημοσιεύση:19/08/2021 05:00
Επιστήμη & Τεχνολογία Δραματική μείωση στην αποτελεσματικότητας των εμβολίων καταγράφουν οι ΗΠΑΗ κατάσταση δικαιολογεί τη χορήγηση αναμνηστικής τρίτης δόσης, λέει η επικεφαλής των αμερικανικών CDC. 18/08/2021 19:37
Επιστήμη & Τεχνολογία Εμβόλιο Pfizer – Η τρίτη δόση αυξάνει την αποτελεσματικότητα στο 86% Η αναμνηστική δόση «είναι η λύση για την αντιμετώπιση της παρούσας αναζωπύρωσης» λένε οι ερευνητές 18/08/2021 16:57
Κόσμος Συναγερμός στην Ακτή Ελεφαντοστού για τον εντοπισμό νέου ύποπτου κρούσματος του ιού ΈμπολαΟ Παγκόσμιος Οργανισμός Υγείας έκρινε «εξαιρετικά ανησυχητικό» το γεγονός ότι το κρούσμα που εντοπίστηκε στην Ακτή Ελεφαντοστού παρουσιάστηκε στο Αμπιτζάν, μητρόπολη άνω των τεσσάρων εκατομμυρίων κατοίκων, δύο μήνες μετά την ανακοίνωση του τερματισμού της επιδημίας του 2021 στην Γουινέα. 18/08/2021 16:25
Επιστήμη & Τεχνολογία Κινεζικός δορυφόρος διαλύθηκε σε σύγκρουση με διαστημικό σκουπίδιΤοπ τροχιακό ατύχημα δημιούργησε τουλάχιστον 37 νέα διαστημικά σκουπίδια, αν και ο πραγματικός αριθμός είναι πιθανότατα μεγαλύτερος 18/08/2021 16:22
Κόσμος Ισραήλ - Μεταξύ εμβολιασμένων τα μισά νέα κρούσματαΗ χώρα που προηγείται στους εμβολιασμούς καταγράφει έναν από τους υψηλότερους ρυθμούς νέων κρουσμάτων. 18/08/2021 16:19
Ελλάδα Η μετάλλαξη Δέλτα οδηγεί την πανδημία υπογραμμίζει ο Λουκίδης – Επιτακτική ανάγκη ο εμβολιασμός και η τήρηση των μέτρωνΟ κ. Λουκίδης επισήμανε ότι πρέπει να υπάρχει σωστή επιδημιολογική παρατήρηση ακόμη και στους εμβολιασμένους. 18/08/2021 13:57
Υγεία Ποιοι και πότε θα κάνουν πρώτοι την αναμνηστική δόση του εμβολίου κατά του κοροναϊούΓια τα εμβόλια και την πορεία του κοροναϊού στην Ελλάδα μίλησε ο Μάριος Θεμιστοκλέους. Τι είπε για το νέο πλαίσιο μέτρων που θα υπάρχει από τέλη Σεπτεμβρίου. 18/08/2021 12:07
Υγεία Εντέλει πόσο πιθανή είναι η μετάδοση του κοροναϊού από μητέρες σε βρέφηΑπό το σύνολο του δείγματος μόνο 177 βρέφη (2,9% αυτών που εξετάστηκαν) ήταν θετικά για SARS-CoV-2 18/08/2021 11:58
Ελλάδα Καμπανάκι Ψαλτοπούλου για μετάλλαξη Δέλτα κι ανεμβολίαστους – «Έχουν 10πλάσια πιθανότητα να διασωληνωθούν»Ανησυχία επικρατεί στις τάξεις των ειδικών αναφορικά στα ποσοστά των ανεμβολίαστων ενόψει του Σεπτεμβρίου και δεδομένης της επέλασης της μετάλλαξης Δέλτα. Τι είπε η κυρία Θεοδώρα Ψαλτοπούλου, Παθολόγος, Καθηγήτρια Επιδημιολογίας και Προληπτικής Ιατρικής στην εκπομπή «Κοινωνία Ώρα MEGA». 18/08/2021 09:25
Υγεία Πώς θα προστατευτείτε από την αποπνικτική ατμόσφαιρα λόγω φωτιάςΜεγάλες φωτιές έχουν σημειωθεί το τελευταίο διάστημα στην Ελλάδα, ενώ συνεχίζει να καίει η φωτιά στα Βίλια με αποτέλεσμα να δημιουργεί αποπνικτική ατμόσφαιρα σε πολλές περιοχές στην Αττική. 18/08/2021 08:31
Υγεία Νέα μελέτη συνδέει τον καπνό των πυρκαγιών με τον κοροναϊό«Οι δασικές πυρκαγιές και η πανδημία είναι επικίνδυνος συνδυασμός» λένε ερευνητές του Χάρβαρντ. 17/08/2021 14:48
Υγεία Ποσοστό 52,5% των Ελλήνων έχουν εμβολιαστεί πλήρως – Ξεπέρασαν τα 11 εκατ. τα τσιμπήματα συνολικά – Ποιοι είναι οι πιο ένθερμοιΤις τελευταίες 10 ημέρες, 72.000 συμπολίτες μας έχουν κλείσει ραντεβού για την πρώτη δόση 17/08/2021 13:37
Κόσμος Ανησυχία από τα κρούσματα της παραλλαγής Δέλτα μεταξύ εμβολιασμένων στο Ισραήλ - Γιατί τρομάζουν οι ειδικοίΗ χώρα που προηγείται στους εμβολιασμούς καταγράφει έναν από τους υψηλότερους ρυθμούς νέων κρουσμάτων. 17/08/2021 13:23
Επιστήμη & Τεχνολογία Μπλόκο στα προφίλ των Ταλιμπάν από το FacebookΗ ταχεία κατάκτηση του Αφγανιστάν εγείρει νέες προκλήσεις για τις εταιρείες τεχνολογίας σχετικά με τον τρόπο αντιμετώπισης περιεχομένου που σχετίζεται με το καθεστώς 17/08/2021 12:28
Ελλάδα Tελικά ποιος μεταδίδει ευκολότερα στην οικογένεια τον κοροναϊό;Οι ερευνητές της Υπηρεσίας Δημόσιας Υγείας του Οντάριο και του Πανεπιστημίου του Τορόντο, οι οποίοι έκαναν τη σχετική δημοσίευση στο αμερικανικό παιδιατρικό περιοδικό “JAMA Pediatrics”, σύμφωνα με τους «Τάιμς της Νέας Υόρκης», ανέλυσαν στοιχεία για 6.280 νοικοκυριά 17/08/2021 11:09
Υγεία Κοροναϊός – Το δίλημμα των ειδικών – Τρίτη δόση για τις ανεπτυγμένες χώρες ή δύο δόσεις για όλο τον πλανήτηΟ κοροναϊός επιμένει σε όλο τον πλανήτη με αποτέλεσμα να υπάρχει ένα δίλημμα σε σχέση με την εμβολιαστική κάλυψη του παγκόσμιου πληθυσμού. 17/08/2021 10:26
Ελλάδα Νέο καμπανάκι Βασιλακόπουλου για τους ανεμβολίαστους – Την τελευταία εβδομάδα έχουμε χάσει πέντε νέους 18 με 39 ετώνΟ καθηγητής Πνευμονολογίας Εντατικής Θεραπείας μίλησε ξανά για την ανάγκη να εμβολιαστούν όλοι. Πόσοι νέοι, ηλικίας 18-39 ετών, είναι διασωληνωμένοι. 17/08/2021 09:07
Κόσμος Ο Αλμπερτ Μπουρλά για το πρώτο μαζικό πρόγραμμα εμβολιασμού - «Γιατί επιλέξαμε το Ισραήλ και όχι την Ελλάδα»Ο επικεφαλής της Pfizer, Αλμπερτ Μπουρλά μίλησε στους «Financial Times» για την επιλογή του Ισραήλ για το πρώτο μαζικό πρόγραμμα εμβολιασμού, τις πιέσεις του Ντόναλντ Τραμπ και την επιτυχία του εμβολίου κατά της Covid-19. 17/08/2021 08:04
Υγεία Ανοσοκατασταλτικό φάρμακο αξιολογείται από τον EMA για τους σοβαρά ασθενείς με κοροναϊόΗ τοσιλιζουμάμπτη κανονικά χρησιμοποιείται για αυτοάνοσα νοσήματα όπως η ρευματοειδής αρθρίτιδα. 16/08/2021 15:59
Επιστήμη & Τεχνολογία Λιονταράκι 28.000 ετών αναδύθηκε από τους πάγους της Σιβηρίας - Ονομάστηκε «Σπάρτη»Προϊστορικά ζώα έρχονται στο φως καθώς το παγωμένο έδαφος λιώνει. 16/08/2021 15:51
Υγεία Τι λένε οι ειδικοί για τον πρώτο θάνατο πλήρως εμβολιασμένουΌπως ανέφερε ο κ. Καπραβέλος, ο 70χρονος που υπέκυψε στον κοροναϊό ενώ είχε κάνει και τις δύο δόσεις εμβολίου και ο οποίος δεν είχε υποκείμενα νοσήματα, είναι μια τραγική εξέλιξη 16/08/2021 13:06
Υγεία Είστε εμβολιασμένος και ήρθατε σε επαφή με κρούσμα – Να τι πρέπει να κάνετεΟ κοροναϊός απειλεί και τους πλήρως εμβολιασμένους. Νέες οδηγίες από το CDC για το αν κάποιος έχει έρθει σε επαφή με κρούσμα ή θεωρεί ότι νοσεί. 16/08/2021 10:22